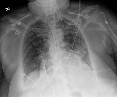
Originale

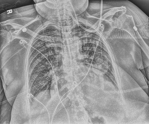
Modificata

Sicurezza con una singola esposizione. Il miglioramento Tube & Line crea un’immagine complementare e utilizza un’elaborazione ottimizzata per una visualizzazione più nitida e semplice delle linee e delle cannule PICC. Questo aumenta la sicurezza che le cannule e le linee siano posizionate correttamente e rimangano in posizione.