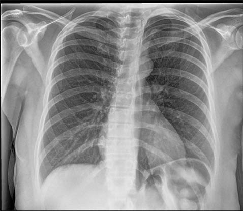
L’elaborazione SmartGrid offre una qualità delle immagini paragonabile all’acquisizione mediante griglia anti-scatter, ma a una dose ridotta per il paziente in imaging del torace al posto letto. Viene soppresso l’effetto della dispersione per migliorare il contrasto anatomico. I vantaggi della qualità delle immagini tipo griglia senza l’utilizzo di una griglia anti-scatter possono portare a un flusso di lavoro più veloce e facilitare l’imaging per i radiologi.
