Digital Tomosynthesis

Digital Tomosynthesis acquires multiple projection images at varying orientations of the x-ray tube, patient and detector, then reconstructs these projection images into a series of slices. Its separation of overlapping structures is similar to that of a standard CT exam, but works at a much lower dose. In comparison to conventional radiography, Digital Tomosynthesis provides more accurate depth location while improving the contrast visualization of local structures — by removing over and underlying anatomy.

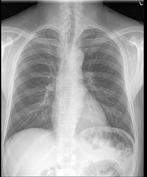
Standard Chest x-ray

Standard Chest x-ray
Slice of DT image showing pathology / Multiple slices showing pathology
Slice of DT image showing pathology / Multiple slices showing pathology