Retreiving your content, one moment please...
公司
支持
物流
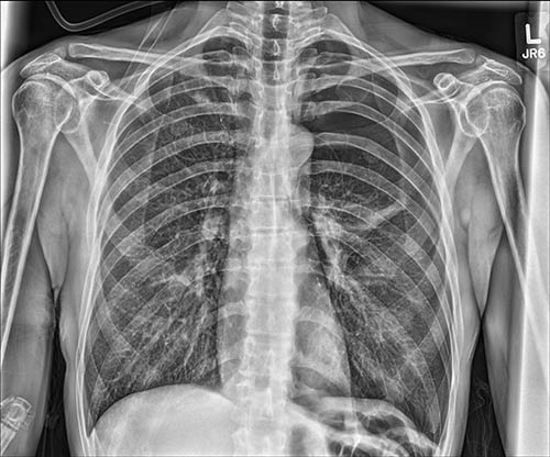
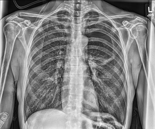
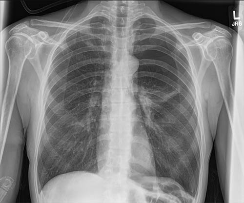
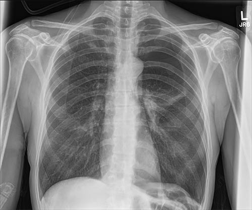
通过气胸可视化处理节省时间。它从原始曝光中生成一个相配影像,经过优化以突出呈现胸腔中的游离空气,提高诊断准确性并增强患者护理。