Tomossíntese digital

A tomossíntese digital adquire imagens com projeções múltiplas em diferentes orientações do tubo de raios X, do paciente e do detector e, em seguida, reconstrói essas projeções em uma série de cortes. Sua separação das estruturas sobrepostas é semelhante a de um exame padrão de CT (tomografia computadorizada), mas funciona com uma dose muito menor. Em comparação à radiografia convencional, a tomossíntese digital fornece uma profundidade mais precisa, enquanto aprimora a visualização de contraste das estruturas locais ao remover a anatomia excessiva e subjacente.

raios x torácicos padrão

			raios x torácicos padrão
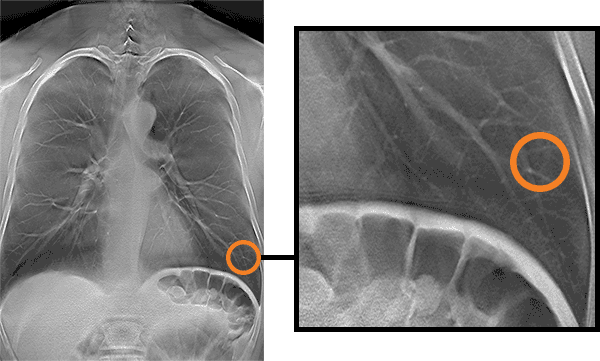
Corte de imagem obtida por meio de tomossíntese digital mostrando uma patologia/múltiplos cortes mostrando uma patologia
Corte de imagem obtida por meio de tomossíntese digital mostrando uma patologia/múltiplos cortes mostrando uma patologia