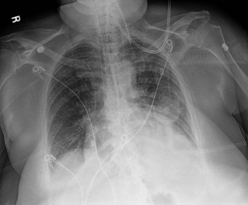
Original

Modificado

Tenha certeza com uma única exposição. O aprimoramento de tubo e linha cria uma imagem complementar e utiliza processamento otimizado para a visualização mais nítida e simplificada das linhas e dos tubos do PICC. Aumenta a confiança de que os tubos e as linhas estão posicionados corretamente e permanecem no lugar.