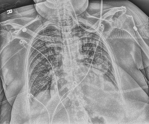
Tube and Line

Be sure with a single exposure. Tube & Line Enhancement creates a companion image and uses optimized processing for clearer, easier visualization of PICC lines and tubes. It increases confidence that tubes and lines are placed correctly – and remain in position.

Modified
Original