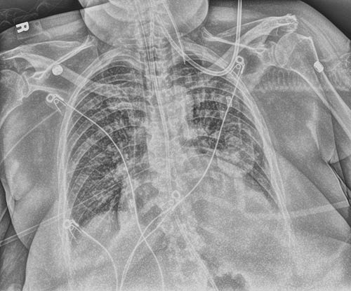
Tubo y catéter

Tenga más seguridad con una exposición única. La mejora de tubos y catéteres crea una imagen guía y utiliza un procesamiento optimizado para una visualización más clara y sencilla de tubos y catéteres de PICC. Aumenta la confianza de que las sondas y las vías se han colocado correctamente y permanecen en su lugar.

Modificado
Original